
Parts:
La membrana nuclear com a part fonamental del funcionament de les cèl·lules:
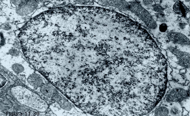
També coneguda com a embolcall nuclear, la seua estructura té com a principal característica la porositat, en una doble membrana lipídica que delimita els intercanvis del nucli, la qual cosa és una propietat única de les cèl·lules eucariotes.
Llavors, què és la membrana nuclear:
És una espècie de doble revestiment el qual es fa possible l’intercanvi de manera selectiva dels diferents continguts líquids i matèria, que es troben depositats en el nucli i en el citoplasma a fi de realitzar correctament part de les seues funcions.
L’aparició d’aquest embolcall nuclear va fer possible que a l’interior de les cèl·lules eucariotes s’aïllaren els processos genètics principals, com la duplicació de l’ADN o la síntesi d’ARN, possibilitant modificacions dins del nucli que no ocorren dins de les cèl·lules procariotes.
Quina seria la correcta definició de membrana nuclear:
És una part de la cèl·lula eucariota amb característiques pròpies que delimita el correcte intercanvi de fluids des de l’exterior del nucli cap a l’interior i viceversa, la qual està constituïda per xicotets porus nuclears o orificis a través dels quals, es transporten les proteïnes i permeten la mobilitat de l’aigua i els soluts mitjançant un mecanisme de difusió.
Funció de la membrana nuclear
Bàsicament, la funció de l’embolcall nuclear radica a conservar separats el contingut del nucli, anomenat nucleoplasma i, el citoplasma. Per la qual cosa s’han determinat dos processos específics que venen daus per la delimitació que fa la membrana nuclear de dos compartiments que estan situats dins de la mateixa cèl·lula:
Una funció de transcripció de l’Àcid Desoxiribonucleic (ADN), que és el que conté la càrrega genètica que es requereix per al desenvolupament i funcionament general dels organismes; en àcid ribonucleic (ARN). Aquest procés es desenvolupa dins del nucli
Una funció de traducció, que es produeix en el citoplasma,d’ARN en proteïna.
De manera que, podem enumerar les seues funcions de manera precisa partint del rol que pren durant l’execució de cada procés o activitat que es realitza dins de la cèl·lula:
Separa el contingut existent a l’interior de nucli (nucleoplasma) del citoplasma de la cèl·lula, a fi d’aïllar els principals processos genètics, com la autoduplicació de l’ADN o la síntesi de l’ARN, mantenint protegit a l’ADN en evitar que el material genètic es veja afectat negativament.
Permet la independència de cada procés bioquímic que es duu a terme a l’interior de la cèl·lula com ara la transcripció i la traducció, sense que un afecte l’altre.
Selecciona i transporta adequadament el contingut macromolecular que serà intercanviat des del citoplasma cap al nucli i viceversa, a través dels porus nuclears, la qual cosa alhora facilita la regulació d’expressió dels gens.
Parlem dels porus de la membrana nuclear
La principal característica tant visual com funcional de l’embolcall nuclear és la presència d’orificis que es troben escampats en la totalitat de la doble superfície de revestiment que envolta al nucli.
Aquests porus nuclears que estan constituïts per complexos de proteïnes, coneguts com nucleoporines, que travessen aquesta doble membrana, poden enumerar-se entre 3000 a 4000, i es troben uniformement distribuïts, encara que aquest número pot variar depenent del procés de transcripció que realitza la cèl·lula, aspecte que va ser explicat prèviament.
A través dels porus, es realitza el transport de molècules o matèria soluble en aigua que travessa la membrana. De manera que, la forma porosa d’aquesta membrana, tenen la responsabilitat de regular el dinàmic intercanvi que es produeix entre els compartiments que formen part de la cèl·lula, el nucli i el citoplasma; permetent també l’entrada en el nucli de les proteïnes que són produïdes en el citoplasma pels ribosomes, *cumplendo un paper fonamental a l’interior del nucli de la cèl·lula.
D’altra banda, el mecanisme que funciona com a portes de comunicació i que es coneix com a complex del porus nuclear, permet que isquen les molècules que es produeixen en el procés de transcripció ja esmentat, les quals en passar al citoplasma seran llegides en els ribosomes.
Per aquestes mateixa portes de comunicació, també passa el contingut d’ARN i proteïnes, ocasionant l’assemble dels ribosomes en el citoplasma.
Quina és l’estructura real del complex de porus nuclear (*CPN)
L’estructura o organització discoidal anomenada CPN, està composta per macromolècules constituïdes per una gran quantitat de proteïnes que són d’una disposició anomenada *octamérica i varien en la quantitat existent, augmentant a mesura que també augmenta l’activitat cel·lular.
Cada CPN ho forma:
Les parets laterals elaborades sobre la base de huit columnes proteiques
Dos anells: un intern i un altre extern
Tres tipus de proteïnes: d’ancoratge, que estabilitzen cada columna; radials, les quals es projecten, a manera de diafragma; i les fibril·lars, que es fixen als anells que és on precisament se situen les nucleoporinEs que transporten les diferents substàncies a través del porus.
Una obertura o porus del centre
Canales aquosos per al transport regulat i no regulat, de grans petites i grans molècules.
Quines són les substàncies que s’intercanvien dins de la cèl·lula
Des del citoplasma cap al nucli, es transporten les proteïnes sintetitzades, els fluids o substàncies que possibiliten el procés de transcripció i els factors requerits en el procediment que s’encarrega de la maduració de ribosomes.
Des del nucli cap al citoplasma, s’exporten molècules i macromolècules ja assemblades que contenen ARNm, ARN de transferència i els factors que resulten del procés de transcripció els quals són reutilitzats en el citoplasma.
Cap fluid o contingut molecular pot entrar al nucli o eixir d’aquest, per si mateix. El complex del porus actives les proteïnes especials que corresponen a cada exportació o importació.
Estructura de la membrana nuclear
Aquesta capa que revist o embolica al nucli, formada per fosfolípids lípids amb variades proteïna, està separada en dues membranes concèntriques o bicapes lipídiques: la interna i l’externa, les quals formen un espai *perinuclear de 10 a 50 *nm; i es troben separades pels porus nuclears i sostingudes per la làmina cel·lular.
La membrana externa és la que fa contacte amb el citoplasma i té el ribosoma disponible que compleix la funció de sintetitzar les proteïnes que es dirigeixen a l’espai perinuclear.
La membrana interna s’uneix a la làmina nuclear i als cromosomes existents en el nucli, a través de la disposició de proteïnes que li són pròpies.
La làmina nuclear, una capa fibrosa de 10 a 15 nm, formada per una altra mena de proteïna pròpia dels filaments intermedis. és on es dona suport a la membrana interna i s’uneixen a les proteïnes integrals de la membrana, conferint-li estabilitat als moviments que realitza la membrana nuclear quan procedeix a l’intercanvi de substàncies entre el nucli i el citoplasma.
En aquest sentit, la làmina no sempre està present en la conformació inicial de la membrana, però si és indispensable en el creixement i manteniment de la integritat de l’embolcall nuclear.
